日本小動物外科専門医のいる動物病院
3歳、フレンチブルドッグ、避妊雌。
慢性的な外耳炎と、1日前に発症した右捻転斜頸を主訴に受診されました。



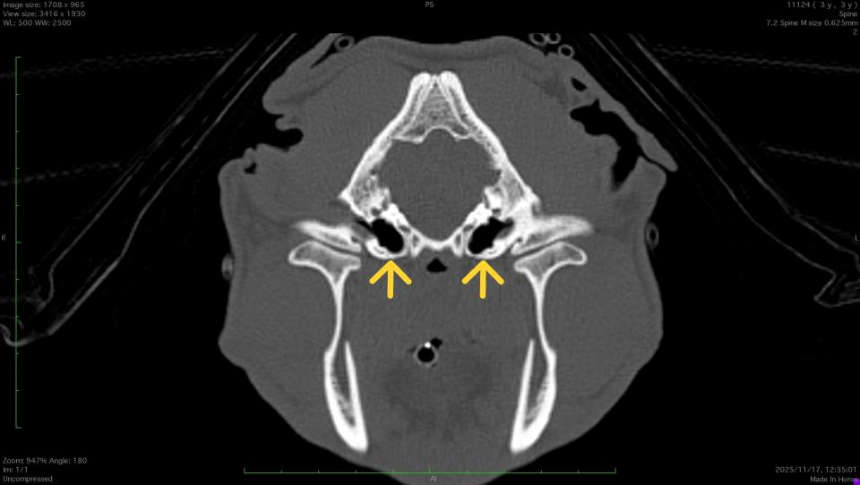
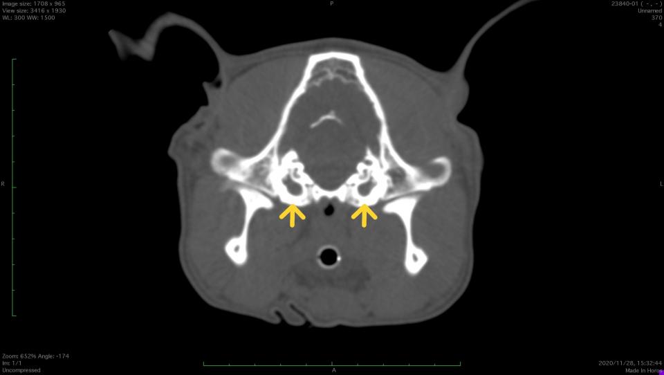
CT検査では、正常な鼓室胞は空気で満たされているので左画像のように黒く映ります。
一方、本症例では液体や軟部組織で鼓室胞内が満たされていることがわかります。

患者を仰向けにし、腹側(顔の下側)からアプローチします。
鼓室胞に穴を開け、内部の液体や組織を摘出します。
この検体は、培養検査や病理組織検査に提出します。
真珠腫 (cholesteatoma)は、短頭種に好発する疾患であり、そのほとんどは慢性外耳炎に続発します。
真珠腫は内科治療(点耳薬や抗生剤内服)への反応は乏しく、進行すると開口時疼痛、捻転斜頸、顔面神経麻痺、運動失調などを引き起こします。
外科治療の適用となりますが、真珠種は浸潤性の高い角化扁平上皮を特徴としており、取り残すとすぐに再発してしまいます。そのため、剥離には高度な技術を要します。