日本小動物外科専門医のいる動物病院
ペルシャ、5ヶ月齢、雌、体重1.1 kg
活動性低下、低体温などを主訴に来院されました。
低体重、流涎、被毛粗造などが認められました。

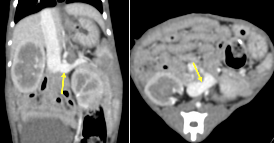
血液検査、尿検査、X線検査、腹部超音波検査などから門脈体循環シャントが疑われ、アンモニア負荷試験や総胆汁酸検査などの門脈体循環シャントで異常が見られやすい特殊検査でも異常が認められました。

シャント血管を確保後に門脈圧を測定しました。シャント血管絞扼後に門脈圧が顕著に上昇し、絞扼前と比較して10mmHg以上の上昇もみられたため、絹糸をシャント血管周囲に設置して部分結紮し、炎症反応によって徐々に血管が絞扼されることを期待して手術を終えました。

痙攣、門脈高血圧、出血などの合併症は認められず、食欲も旺盛になり体重も増加して退院しました。
門脈体循環シャントは外科治療で根治可能な疾患であり、適切な手術と周術期管理により良好な予後が期待できます。
内科治療には限界があり、早期の外科治療が推奨されます。
門脈体循環シャントの多くは2歳頃までの若齢時に診断され、低体重・発育不全、痙攣などの神経症状、嘔吐や下痢などの消化器症状などが認められます。
これらに該当する場合は門脈体循環シャントの可能性があります。お困りの場合にはご連絡ください。