日本小動物外科専門医のいる動物病院
チワワ、11歳、去勢雄、4.6kg
急性発症した四肢不全麻痺を主訴に来院されました。

歩行不可能な四肢不全麻痺および運動失調が認められ、頚部脊髄障害のグレード3と評価しました。
鑑別診断として椎間板ヘルニア、椎間板関連動的圧迫、髄膜炎などが考えられました。髄膜炎や腫瘍の除外のためMRI検査を実施しました。
C2-3-4-5-6椎間において多発性椎間板ヘルニアが認められました。

責任病変の特定と椎間板関連動的圧迫の検出のための脊髄造影検査/脊髄造影ダイナミック検査を実施したところ、C5-6椎間において伸展時に圧迫の程度が悪化し、牽引時に軽減する脊髄動的圧迫所見が認められました。


MRI検査のみでは多発性椎間板ヘルニアにおける責任病変の特定が困難な場合があり、脊髄動的圧迫は評価できません。
本症例は脊髄造影検査および脊髄造影ダイナミック検査を実施することで、C5-6椎間の椎間板ヘルニアおよび脊椎不安定症と診断することができました。
C5-6椎間に対するベントラルスロット術および椎体固定術を実施しました。

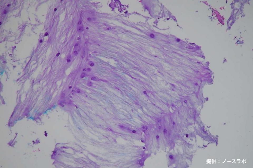
術中に摘出した椎間板の線維輪は変性して疎になっており、正常犬と比較して脆弱化していました。

術後3日目には自力歩行が可能でした。
当院では小型犬、特に非軟骨異栄養性犬種(チワワ、ミニチュアピンシャー、ヨークシャーテリア、ポメラニアンなど)の頚部椎間板ヘルニアにおいて、加齢に伴う線維輪の脆弱化が脊椎不安定性を助長すると考えており、その病態、診断法、椎体固定の必要性を報告しています。(DOI: 10.1111/avj.13320)
当院は、脊椎不安定症の診断に必要な脊髄造影ダイナミック検査を実施できる限られた施設です。